Pentru ca avem foarte multi pacienți cu cataractă care ni se adresează pentru operație, având și o boală de cornee, numită distrofie corneeană Guttatta sau distrofie Fuchs, dorim să le oferim aici mai multe informații despre această asociere și despre ce implică operația cataractei în asemenea condiții.

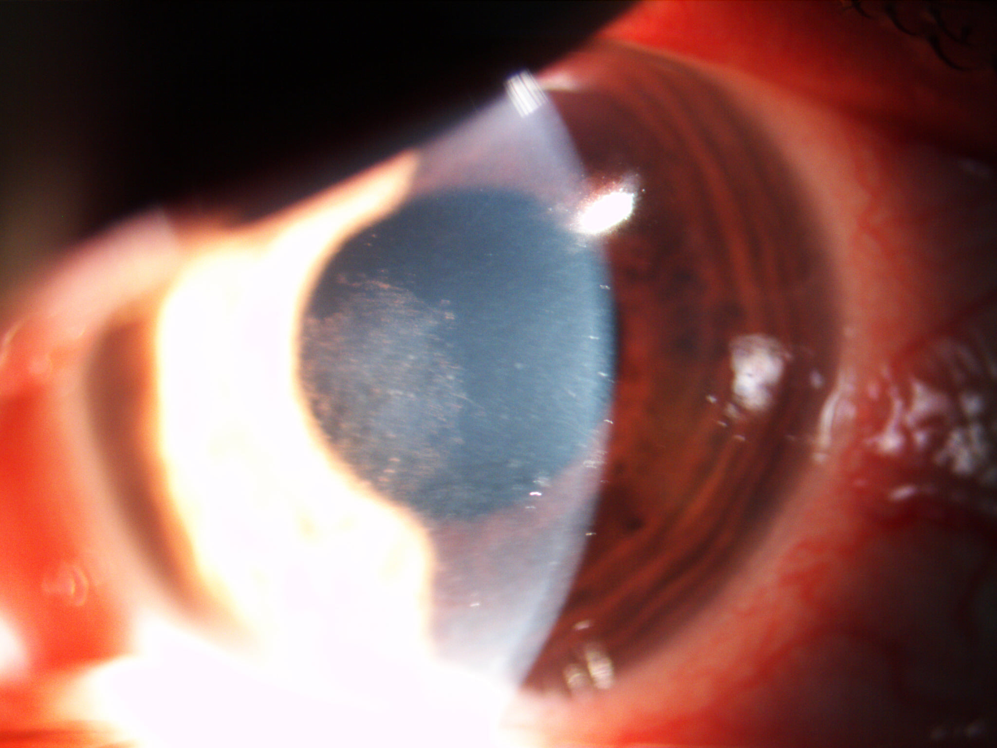
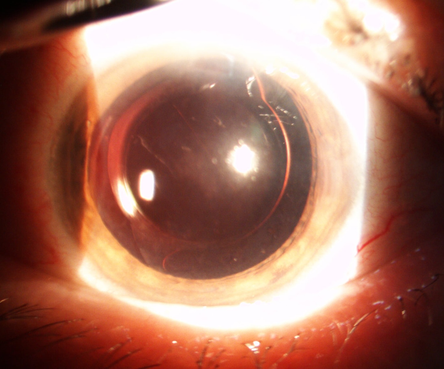
Distrofia Guttatta sau, în fazele ei mai avansate, Distrofia Fuchs, reprezintă o boală a stratului cel mai profund, mai din interior, al corneei, numit endoteliu. În această afecțiune – foarte frecvent întâlnită, de altfel – numărul, morfologia și calitatea celulelor stratului endotelial scad semnificativ, ducând la proasta lui funcționare. Când celulele endoteliale nu mai funcționează deloc, apare îngroșarea cu pierderea transparenței și a luciului corneei, iar pacientul vede în ceață din ce în ce mai deasă.

Singurul tratament pentru această fază avansată a distrofiei corneene sus-numite este transplantul lamelar posterior de cornee DSAEK sau DMEK.

Dar ce facem cu această distrofie dacă nu a ajuns în fază atât de avansată, încât să necesite operația de transplant de cornee? Are vreun tratament?
Nu, această pierdere de celule nu are NICIUN tratament eficient și NICI nu poate fi prevenită.
Ba mai mult, există factori care îi grăbesc evoluția, și anume, orice intervenție chirurgicală intraoculară – cel mai frecvent, operația de cataractă! Numărul de celule endoteliale scade în timpul unei operații de cataractă, cu atât mai mult cu cât operația e de durată mai mare, mai dificilă, cu folosirea unei cantități mai mari de energie ultrasonică și cu o tehnică chirurgicală mai puțin eficientă și ne-protectoare pentru endoteliul corneean.

De aceea, la pacienții care au și cataractă și distrofie Guttatta, recomandăm două lucruri, pentru a preveni avansarea rapidă a bolii corneene:

a) să realizeze operația de cataractă cât mai devreme, astfel încât aceasta să fie oarecum mai ușoară, de durată mai scurtă și cu energie ultrasonică utilizată în cantități mai mici;

b) pe cât posibil, să realizeze operația de cataractă prin tehnologia FemtoLaser, tehnologie care oferă o siguranță a operației și un timp mult mai scurt de manevre intraoculare, cu utilizarea unei cantități mai mici de energie ultrasonică – deci, mai puțin periculos pentru cornee.

Mulți pacienți ne întreabă ce să opereze mai întâi: cataracta, sau corneea?
La Clinica Oculus, strategia pe care o avem în aceste cazuri este una personalizată, adaptată fiecarui pacient, dar care, totuși, urmează niște linii directoare de bază:

  1. Dacă și cataracta și distrofia corneeană sunt avansate, operăm ambele afecțiuni în aceeași intervenție (operație combinată – facoemulsificare cu DSAEK/DMEK).
  2. Dacă doar cataracta e avansată, iar distrofia e mai puțin avansată, operăm doar cataracta, ținând cont de protecția maximă a corneei în timpul operației, prin tehnica FemtoLaser și urmărind să amânăm cât mai mult posibil necesitatea realizării translantului de cornee.
  3. Dacă avem o cataractă mai mică, foarte incipientă, sau chiar absentă, dar o distrofie corneeană avansată, metoda aleasă e în funcție de vârsta pacientului:
  • la pacienți sub 35-40 de ani operăm doar corneea (DMEK), la cei peste aceasta vârstă, facem operație combinată, și de cornee (DMEK), și de cataractă (chiar foarte incipientă fiind, sau chiar absentă!), pentru a evita necesitatea ulterioară a operării cataractei pe o cornee deja cu transplant, deci, mult mai „sensibilă”.

Pare complicat, dar, desigur, pacienții noștri primesc toate informațiile necesare, inclusiv propunerea pentru metoda care li se potrivește cel mai bine, când vin la consultația preoperatorie.

Mai jos, fotografii ale mai multor pacienti de-ai nostri cu Corneea Guttatta în faze medii, sau chiar avansate, la care am efectuat doar operația de cataractă, în urma căreia corneea a „supraviețuit” cu brio și nu a mai fost nevoie – cel puțin până acum – de un trasplant de cornee.