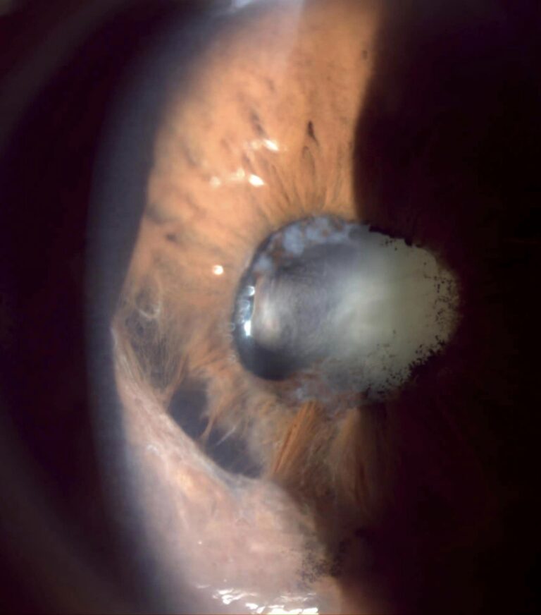
Keratopatia buloasă sau edematoasă este o afecțiune frecvent întâlnită, în special după operații de cataractă în care, din diverse motive, fie pre-existente, fie intra sau
Keratopatia buloasă sau edematoasă este o afecțiune frecvent întâlnită, în special după operații de cataractă în care, din diverse motive, fie pre-existente, fie intra sau
O operatie de ieri, pentru o membrană epiretiniană, la care, la controlul retinei, s-au găsit și două rupturi retiniene mici – una cu clapetă si
Diabetul zaharat – boala lumii moderne, într-o creștere semnificativă, ca incidență, la nivel mondial, o boală care afectează multe structuri din organism, de la inimă

În data de 22 februarie Clinicia Oculus a găzduit prima din cele cinci sesiuni de chirurgie live ce vor marca anul 2025. Evenimentul a fost
Ați zice că e greu de crezut că, după atâtea avertismente din partea oftalmologilor și a medicilor, în general, există și în prezent copii și
Una dintre cele mai frecvente tehnici necesare pentru a opera un glaucom avansat și rebel la tratament este implantarea de valvă de drenaj, tehnică în

Clinica Oculus va găzdui în data de 22 februarie 2025 o sesiune de chirurgie live, la care sunt invitați și așteptați atât medici tineri care
Astăzi am avut la Clinica Oculus, printre alte operații, și două intervenții de extragere a uleiului siliconic la doi pacienți operați acum două luni de
Retinopatia pigmentară este o distrofie retiniană severă, care, pe lângă modificările de tip pigmentar difuze ale retinei și atrofia de nerv optic, mai are câteva