Blog

Cazuri deosebite

Un caz interesant de la începutul acestei săptămâni: o pacientă cu dezlipire de retină post-traumatică, care s-a lovit singură cu mâna în ochi, încercând să

Citește mai mult »
Cazuri deosebite

Zilele de vineri sunt, în parte, dedicate și operațiilor de glaucom, pe care la Clinica Oculus le efectueaz[ Dr. Mădălina Iliescu. Din păcate, aproape 80-90%

Citește mai mult »
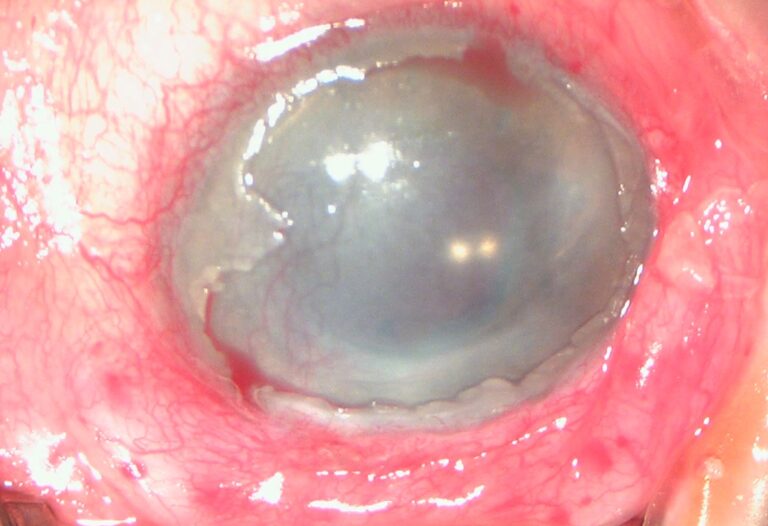
Cazuri deosebite

Keratopatia edematoasă și sindromul TASS (Toxic Anterior Segment Syndrome) sunt două complicații extrem de severe ale operației de cataractă. Atunci când ambele sunt prezente (eventual

Citește mai mult »
Cazuri deosebite

Un scurt articol despre “banala” operație de cataractă. Din păcate, oricât de mult am sublinia noi, la Clinica Oculus, prin toate mijloacele de comunicare, inclusiv

Citește mai mult »
Cazuri deosebite

Uneori, o keropatie buloasă este așa de avansată, cu o cornee atât de groasă și de opacă, încât nu se poate realiza tehnica de elecție

Citește mai mult »
Cazuri deosebite

Așa cum se știe, dezlipirea de retină este o urgență de diferite grade, în funcție de localizarea dezlipirii și de afectarea, sau nu încă, a

Citește mai mult »
Cazuri deosebite

Mulți pacienți ne întreabă dacă și când este cazul să schimbe un cristalin artificial implantat mai demult, cu ocazia unei operații de cataractă.Sunt mai multe

Citește mai mult »
Cazuri deosebite

Vă prezentăm cazul unui pacient tânăr, de 30 de ani, care a avut ghinionul acum câțiva ani, să facă un abces orbitar, pentru care a

Citește mai mult »
Cazuri deosebite

Unii oameni pur și simplu au ghinion în mod repetat! Așa este și acest pacient care, după o lovitură puternică la ochi face o cataractă

Citește mai mult »